歡迎來到北京博奧森生物技術有限公司網站!


Bioss全新一代mIHC試劑盒正式發布,本次升級圍繞“精準、高效、便捷"三大重心,通過核心工藝與配方的雙重革新,在抗體驗證、熒光信號放大及兼容性等方面實現了突破性改進,顯著提升了通量與信噪比,為多靶點的聯合檢測提供了更強大的解決方案。

技術原理
酪酰胺信號放大(TSA, Tyramide signal amplification)技術是一種利用辣根過氧化酶(HRP)對靶蛋白進行原位標記的酶學檢測方法。其原理是利用酪胺(Tyramide)的過氧化物酶反應,酪胺熒光素底物在HRP和H202的作用下被活化,活化的熒光底物能與目標蛋白上的酪氨酸等殘基共價結合,導致在抗原-抗體結合位點大量沉積熒光素,實現信號放大。通過熱修復或者抗體洗脫液洗去前一輪非共價結合的抗體,而熒光素穩定結合在蛋白上,進行下一輪染色。直至所有抗體孵育結束,進行核染色,封片,掃描。
由于每次體系中都只有單一抗體孵育,因此無需擔心抗體的交叉反應及一抗二抗種屬匹配問題,擺脫了傳統免疫熒光實驗條件對抗體種屬來源的限制和束縛。此試劑盒中的熒光染料可以單獨或組合使用,能夠實現單標、雙標、三標以及更多重熒光放大/多重同源抗體熒光標記等功能。


實驗步驟


mIHC試劑盒產品線
保存條件:4℃可保存12個月。
適用樣品基質:適用于石蠟切片、冰凍切片、細胞爬片及細胞涂片等樣本。冰凍切片、細胞爬片及細胞涂片需單獨購買mIHC專用抗體洗脫液(貨號:C2208)。

產品組份:
含TSA熒光染料、DAPI染液(即用型)、TSA buffer、HRP山羊抗兔/鼠通用二抗、抗體稀釋液、3%H2O2及抗熒光淬滅封片劑(干固型),將mIHC實驗所需試劑一站式配齊。

產品優勢:
1.多重指標檢測:單樣本同步檢測多重生物標志物,支持空間組學研究。
2.跨物種兼容:突破傳統種屬限制,同源一抗實現多輪標記。
3.超敏信號放大:級聯放大技術,靈敏度較傳統IF提升100倍。
4.精準定位:逐輪標記策略確保零交叉反應,定位精度達亞細胞級。
5.全平臺適配:覆蓋488-850nm光譜,與主流熒光顯微鏡、暗場掃描系統高度適配。
6.靈敏度:采用增強型熒光信號放大技術,精準捕捉低豐度信號,細微變化皆可清晰呈現。
7.穩定性強勁:經大量抗體驗證,結果可靠、重復性佳。
8.性價比突出:無需另購零散試劑,降低時間與經濟成本,讓科研投入更高效聚焦。
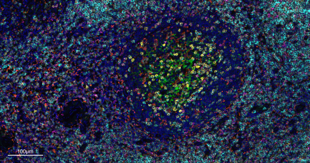
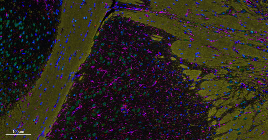
驗證數據:





